|
|
|
|
|
Video also HERE...
Fortunately, because DMSO is effective for a wide range of conditions, it's caught on like wildfire over the last six months (e.g., I've already received over 2,000 reports of remarkable responses to DMSO, many for a variety of "incurable" conditions).
Due to the controversy around DMSO, its pioneers chose to downplay its anticancer potential to avoid backlash against "unproven" treatments.
As a result, its cancer-fighting properties remain largely unknown.
For example, earlier in this series, I presented hundreds of studies that show DMSO:
Effectively treats cancer pain (which is often very challenging to address).
Dramatically reduces many of the complications experienced from radiation therapy and chemotherapy.
Stops cancers from growing and transforms cancerous cells back into normal cells.
Significantly increases the potency of anticancer agents, making it possible to use much lower (and thus safer) doses of them while simultaneously having a higher treatment success rate.
Some of the most remarkable benefits are seen when DMSO is combined with nontoxic natural cancer therapies (e.g., recently I reviewed the remarkable results obtained from infusing DMSO mixed with baking soda - for use of baking soda see also here).
Unfortunately, since there are almost an endless number of combinations, most have not been tested, and many incredible ones are likely waiting to be discovered.
Note:
DMSO combinations can also be applied topically as DMSO transports substances inside the body and deep into cancer cells.
Hematoxylin is a powder obtained from the logwood tree, which has been used for centuries as both a dye and a medicinal substance.2
After being adopted by the textile industry, its oxidized form (hematein), in 1830, was discovered to be excellent for staining many components of cells including DNA.3
It has remained one of the primary stains used in pathology ever since (it's the "H" in H & E stains).
While we currently use a systematized process to develop drugs (based on their molecular targets), in the past, it was a much more haphazard process that often arose from incorrect assumptions.
For example,
the first antibiotic was developed by mixing a substance known to be toxic to bacteria (arsenic)4 with a dye that stained bacterial cell walls under the theory that the dye would allow arsenic to selectively target bacteria.5
After decades of failed attempts were made to replicate this approach, another "antimicrobial" dye was found,6 but before long it was discovered that the antimicrobial agent was not the dye itself but rather a colorless metabolic product of it, sulfanilamide.7
Similarly, one of the most remarkable therapies I know of (Ultraviolet Blood Irradiation) was originally developed under the belief that exposing the entire circulation to UV light would sterilize the bloodstream and hence treat a lethal infection.
This did not work (it killed the test dogs) but before long, the inventor accidentally only irradiated a small fraction of the dog's blood and got a remarkable results as inputting a small amount of UV light into the circulation transforms human physiology and allows the self-healing capacity of the body to treat a wide range of illnesses (e.g., UVBI is a highly effective treatment for bacterial and viral infections, circulatory disorders and autoimmune diseases).
Hematoxylin likewise follows a similar journey.
Eli Jordon Tucker, Jr., M.D. was a highly decorated orthopedic surgeon in Texas who made many critical orthopedic discoveries through bone research he did in his spare time.
This required him to purchase cattle bones from a meat packing company, where he observed that many commercial cows had large cancers covering their faces.
Wondering if there was a type of cancer-resisting antibody in those cows, Tucker began administering extracts of their blood to lab rats and mice with cancers and observed anticancer activity for certain types of cancer.
Since it was unclear how much of a change was occurring, Tucker looked for a dye that could stain the tumors, and eventually realized that hematoxylin was the perfect dye because it stained the cancers one color and normal cells another.
Unfortunately, hematoxylin had poor solubility (limiting his ability to experiment), so once DMSO (a potent solvent) came into use around 1963, Tucker started using it.
He quickly discovered it could dissolve a very high concentration of hematoxylin and that this mixture selectively stained cancers leaving normal cells unaffected.
Most importantly, there was a "marked increase in central necrosis of the neoplasm," indicating this mixture could potentially eliminate cancers while sparing normal cells.8
Tucker then decided to conduct toxicity studies (initially in dogs) where he found high concentrations of IV DMSO mixed with hematoxylin (D-hematoxylin) had no toxicity to any of the tissues or organs he examined (and did not accumulate in any non-cancerous tissue).
Curiously, the mixture he made was four times less toxic than IV DMSO alone (which was already extremely safe).
He then began treating spontaneous cancers in animals (e.g., in horses, dogs and cows), which included terminal cases with massive tumors (e.g., a large-cell lymphosarcoma, a small-cell lymphosarcoma, generalized malignant melanoma, a squamous cell carcinoma) along with an osteogenic sarcoma.
In all of these cases, there was a prompt response, and the animal subsequently recovered.
Tucker gradually determined a workable dose for D-hematoxylin and before long was approached by a colleague who had a comatose female patient on the verge of dying from inoperable fibrosarcoma.
D-hematoxylin caused her tumor to recede until it could be surgically removed (at which point she had a full recovery).
Encouraged, Tucker treated more patients.
Eventually, in 1968,9 he published results from 37 cancer patients:
those receiving D-hematoxylin with other treatments saw a 70% improvement rate, compared to just 5% on conventional therapies alone.
Younger, less heavily treated patients did best, and topical or IV routes proved most effective.
Tucker's patients included many dramatic recoveries - like a 3-year-old boy with terminal cancer who lived into his 30s, a woman with aggressive lymphosarcoma cured after a year of infusions and a high-level Exxon executive with advanced colon cancer survived and later accompanied Tucker to the FDA (who despite being astonished by Tucker's cases nonetheless stonewalled D-hematoxylin).
Despite promising results and minimal side effects the American Cancer Society targeted the therapy10 and Tucker quickly faced a heavy backlash and was expelled from his hospital.
Justifiably fearing he'd lose his license, he stopped publishing but continued privately treating desperate patients (often for free). D-hematoxylin faded from view, with only a few doctors using it quietly over the years.
But the stories remain:
of lives saved, cancers reversed, and a dedicated doctor who risked everything to offer hope when no one else would.
Note:
Andrew Ivy (who was arguably the most influential doctor in America at the end of World War 2),11 like Tucker theorized there must be a factor in the blood which resisted cancer, and eventually came across a isolate (from cows injected with a cancer-causing fungus who'd then recovered) which did just that.
After refusing to sell out to the AMA (who frequently tried to buy out competing therapies), he was blacklisted by both the FDA and AMA, and despite having thousands of compelling and well-documented cases showing it cured cancer, effectively had his entire reputation destroyed because he'd promoted an "unproven cancer cure."
After its initial discovery, DMSO quickly spread across America, attracting many dedicated proponents.
Once the FDA tried to shut down the use of DMSO, some of its proponents fought for decades to prevent it from being forgotten.
A few of those (e.g., such as maverick physician William Campbell Douglass) likewise took up D-hematoxylin, and one medical journalist, podiatrist Morton Walker worked with Tucker so that his formula could be preserved in print and continue to help patients into the future.12
One of them, Jim McCann (a maverick Canadian engineer and self-taught healer), starting with a high-dose treatment that saved a man dying of prostate cancer, began experimenting with D-hematoxylin.
He eventually had to relocate to Ecuador, where he quietly trained around 20 doctors. Over time, D-hematoxylin became a fixture in Ecuador's alternative medicine scene, used by as many as 100 doctors.
Years later, an Ecuadorian doctor successfully used DMSO and antibiotics to treat chronic bacterial prostatitis, curing 44 of 45 patients. Inspired by McCann, he began using a similar approach for prostate cancer, mixing hematoxylin with DMSO.
The results were so promising, they sparked a 15-year study that continues today.
Note:
Both Tucker and the Ecuador team found D-hematoxylin has a very low LD50 (1257.16 mg/kg), which is between 10 to 100 times less toxic than many commonly used cancer drugs.13
Likewise, hematoxylin alone has negligible toxicity.14 As such, other than fevers or chills (which occur when too high of a dose is infused too quickly), no significant side effects (e.g., signs of organ damage) have been observed from D-hematoxylin.
That project involved treating approximately 85 patients, with the cure rate in patients who had not previously received chemotherapy averaging between 80% to 90%.
As such, D-hematoxylin is an excellent cancer treatment, but it is not perfect and will not work for everyone.
The cancers thus far found to have a good response to D-hematoxylin (some of which are otherwise extremely difficult to treat) included:
Leukemias (particularly acute leukemias)
Bile duct cancer
Sarcomas (including soft tissue sarcomas and osteosarcoma)
Leiomyosarcoma
Non-Hodgkin lymphoma
Ovarian carcinoma
Mediastinal tumors
Bladder cancer
Cancers with a giant cell tumor phenotype
Additionally, if a cancer marker is associated with the tumor (e.g., CEA15 or PSA)16 it will often drop rapidly, making it easy to track the progress of D-hematoxylin.
Note:
There can be an initial increase in the tumor marker (due to the cancer breaking down and releasing its components to the bloodstream), but this quickly goes down.
As the following cases show, many of the improvements were quite profound:
A 54-year-old woman with Hodgkin's Lymphoma (72% bone marrow involvement, CD20-positive) fully recovered using only D-hematoxylin and EDTA. Bone marrow biopsy showed cancer selectively destroyed while healthy cells regrew, with no recurrence after 12 years.
A 72-year-old leukemia patient saw rapid anemia improvement with D-hematoxylin.
Likewise, similar bone marrow changes were seen in her:

A 16-year-old male with mediastinal seminoma received D-hematoxylin, IV vitamin C, and then chemotherapy (cisplatin + bleomycin with DMSO). He fully recovered.

A 63-year-old man with cholangiocarcinoma (a rare bile duct cancer) treated with D-hematoxylin, chelation, and vitamin C but no chemotherapy. Tumor markers improved. Additionally, the cancer debris could be seen in the drainage tube (an internal-external percutaneous transhepatic biliary drainage catheter).
Likewise, another bile duct cancer patient had a dramatic improvement in her tumor markers following D-hematoxylin:

A 63-year-old man with B-cell lymphoproliferative disorder received only 10 days of D-hematoxylin only and his WBC count normalized.
A man who had a stable bladder polyp which became cancerous following a covid vaccination and when examined had spread in a large portion of the urinary tract's endothelium. It was surgically removed, but due to how far it had spread, the urologist told the patient he would only survive for two months. He then began five weeks of intravesical and IV D-hematoxylin and the cancer never returned.
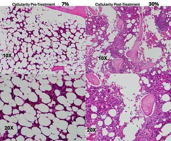
A 55-year-old female who had a mediastinal tumor (type unknown as it was wrapped 560° around the aorta and hence could not be biopsied) which fully resolved after 33 daily D-hematoxylin treatments.

Note:
Her remarkable CT changes can be viewed here.
A 27-year-old female with acute lymphoblastic leukemia reacted poorly to two sessions of chemo, was classified as terminal, and then was started on D-hematoxylin. She had a significant improvement in her cancer and a simultaneous improvement in her anemia which continued long after conventional treatments for anemia were halted (which did not include blood transfusions as she was a Jehovah's Witness).

Additionally, video footage shows prior to her treatment she was very frail and had difficulty walking, while after 31 days of treatment, she had no difficulty walking and looked vibrant and robust.
Note: Four years later, she had a healthy pregnancy (despite local hematologists having erroneously forecasted she would have issues including becoming severely anemic).
Additionally these patients showed:
D-hematoxylin was significantly more effective than DMSO alone.
Some tumors disappear quickly; others become avascular or fibrotic, halting growth and becoming easier to remove surgically.
Like many other natural cancer therapies, the best results were seen in individuals who had not previously received chemotherapy. Likewise, every patient who completed their D-hematoxylin protocol and had not previously received chemotherapy have not had any recurrences. However, if chemotherapy was given a few weeks after D-hematoxylin had been started, treatment successes increased.
Otherwise healthy individuals who had the cancer rapidly appear had the best response to D-hematoxylin.
While DMSO has many anticancer properties, they are not sufficient to explain the rapid changes observed.
However, a few clues hint at why this combination works:
First, one researcher who studied D-hematoxylin found that it selectively travels to tumors but not normal tissue.17
Second, he found that it caused a dose-dependent alternation of tumor cell morphology and eventual death that primarily affected the center of the tumor (which is unusual as normally chemotherapy affects the periphery of tumors first, and likely partly due to DMSO's ability to penetrate the cytoplasmic barrier which typically protects tumor cells).
Furthermore, these changes continued after D-hematoxylin was stopped, suggesting it initiates a degenerative process in tumors.
Note:
Oral D-hematoxylin, while less potent, also displayed these anticancer properties.
Third, he found cellular damage initially began in the nucleus, suggesting D-hematoxylin had an affinity for DNA (which hematein does18). Following this, the cancer cells, in successive stages, began to break down and digest themselves (autolysis19), after which white blood cells began to invade the tumors to eliminate them.
Fourth, he found that D-hematoxylin appeared to first dissolve the extracellular matrix around cancer cells first, potentially starving them.

Protein Kinase CK2,20 when dysregulated, has been implicated in hundreds of diseases,21 including viral infections such as COVID-19, autoimmune diseases, and neurological conditions.
Of those, it's best known for playing a key role in cancer (e.g., its activity is often elevated in various cancers, which contributes to tumor progression and poor prognosis).
Hematein in turn, has been shown to inhibit CK2 with a high degree of selectivity22,23,24 via binding to a subunit that is over expressed in many cancers,25,26,27 correlates with a poor prognosis,28,29 and when inhibited, causes cancer cells to undergo programmed cell death.30,31
Multiple studies have shown that hematein has selective antitumor effects and can trigger programmed cell death in cancers.32,33,34,35 Additionally, like D-hematoxylin, CK2 inhibitors have also been shown to increase the sensitivity of cancers to chemotherapy.36,37
Finally, most of the cancers which are highly susceptible to D-hematoxylin are also highly dependent on CK2 (particularly blood cancers38,39 - which CK2 inhibitors have repeatedly demonstrated efficacy against40,41,42).
Likewise, cells losing their attachment to the extracellular matrix (which DMSO and hematoxylin were shown above to dissolve) triggers a form of cell death (anoikis43), which CK2 confers resistance to in cancer cells.44
As such, it is likely CK2 plays a pivotal role in D-hematoxylin's anticancer properties and it is plausible that in addition to DMSO potentiating hematoxylin, hematoxylin is also potentiating DMSO's anticancer properties.
Note:
The other potential mechanisms for D-hematoxylin's anticancer properties we have identified are discussed here.
Over the last century, many promising cancer cures have been discovered but then forgotten due to the medical industry's hostility towards anything that threatens the cancer monopoly.
Having looked through many, D-hematoxylin in particular stands out for its high degree of efficacy, which is immensely fortunate, as unlike many of those other forgotten therapies, by virtue of it being composed of two simple and widely available chemicals, it is still readily accessible.
As such, I am immensely grateful to all of the people who, for the last fifty years, worked tirelessly to preserve Dr. Tucker's discovery and I believe the MAHA movement will be the time when these Forgotten Sides of Medicine will at last be able to emerge.
Author's Note:
This is an abridged version of a longer article which goes into more detail on all of the data on D-hematoxylin, the existing protocols for its use and how to locate one of the doctors currently providing D-hematoxylin.
That article, along with guidelines for general DMSO use can be read here. Additionally, a companion article detailing DMSO's anticancer properties and the other cancer therapies it enhances can be read here.
Sources and References
1 The Forgotten Side of Medicine, October 12, 2024
2, 3 Biotech Histochem. 2005 Mar-Apr;80(2):73-8
5 Amazon, The Drug Hunters: The Improbable Quest to Discover New Medicines
8, 9 Int Surg. 1968 Jun;49(6):516-27
10 A Cancer Journal for Clinicians, 21(6), 386-387
11 The Forgotten Side of Medicine, October 27, 2024
12 Amazon, Dmso: Nature's Healer Dmso
13, 17 The Forgotten Side of Medicine, April 12, 2025
14 Mayers Hematoxylin, Accessed May 2025
15 Wikipedia, Carcinoembryonic antigen
19 Wikipedia, Autolysis (biology)
21, 31 Signal Transduction and Targeted Therapy volume 6, Article number: 183 (2021)
22 International Journal of Oncology 43.5 (2013): 1517-1522
23, 33, 34 Int J Oncol. 2013 Sep 4;43(5):15171522
24, 32, 35 BMC Cancer. 2009 May 6;9:135
25, 28 Eur J Cancer. 2011 Mar;47(5):792-801
26, 30 Mol Cancer Res (2004) 2 (12): 712721
27, 29 Oncotarget. 2015 Sep 25;6(33):3480034817
36, 42 Cancers (Basel). 2021 Mar 5;13(5):1127
37, 39 Leukemia, Volume 32, Pages 110 (2018)
38, 40 Front Pharmacol. 2015 Mar 31;6:70