|

by John O'Sullivan
June 12, 2021
from
Principia-Sientific Website
Information sent by Edgar Russo (Bazook894)

As
COVID19 is shown not to be an infectious and deadly viral
pathogen, key flaws in the pandemic's accepted scientific narrative
are being addressed.
If a virus cannot be proven to cause disease
then, does it exist...?
According to a seemingly non-controversial statement in
Wikipedia a
virus is:
"...a submicroscopic infectious agent that replicates only inside
the living cells of an organism. Viruses infect all types of life
forms, from animals and plants to microorganisms, including bacteria
and archaea."
There is wide scientific consensus that a virus is neither living or
dead, but is an agent that requires a living cell to replicate, and
it will cause infection and disease.
Indeed, the peer-reviewed
medical literature affirms that,
a virus is often referred to as a
"parasite"... 1
But during this insane pandemic dissenting researchers have come to
the fore to argue that in empirical science no such 'deadly virus'
has been reproduced in a laboratory.
Freedom of Information (FOIA)
requests to governments further show that none will claim they can
demonstrate in the lab that SARS-CoV-2 is the causative agent of
infection.
For example,
Last year Principia Scientific International was
the world's first independent science association to declare there
was
no LAB proof of COVID19.
Our expert
in this field, Dr Saeed Qureshi, was at the forefront of calling out
the fraud...!
So, is virology in a mess over this? We share with readers some of
our concerns on the key issues.
Crucially, as a science association strongly supportive of
empiricism and the traditional scientific method (as extolled by
Karl Popper) we question why
modern medicine seems to have abandoned the standard measure of
proving the existence of a disease - Koch's postulates.
To our way of thinking Koch's postulates appears to have been
abandoned during the current pandemic. Not lost on us is the
worrisome lack of post mortems being performed on so called 'victims'
of
COVID19.
Even at the height of the Spanish Flu epidemic of 1918 evidence
gathering via pathology was key. But now pathology is being bypassed
in what seems a rush to accept an unproven panacea - mass
vaccination with
experimental gene therapy (mRNA).
When post mortems are carried out on supposed 'COVID19 victims' the
results prove no such cause of death, as we showed in
Top Pathologist:
'NO ONE has Died from the Coronavirus...!'
The A high-profile European pathologist, Dr.
Stoian Alexov called the World Health Organization (WHO) a "criminal
medical organization" for creating worldwide fear and chaos without
providing objectively verifiable proof of a pandemic.
Dr. Alexov, Bulgarian Pathology Association (BPA) president
added that with
no hard evidence to prove the
existence of any deadly virus it is "impossible" to create a vaccine
against it.
Meanwhile, in the UK speaking to the Daily Record Scotland's
most eminent pathologist, Tony Busuttil, emeritus professor
of forensic medicine at Edinburgh University,
said:
"Without post-mortems, we can't really say
for sure what has gone on and why the patient has died and if we
are to combat the new virus, we first have to understand its
effects."
In these dark days we lament the sweeping
abandonment of the scientific method of replication and of
demonstrating a cause and effect, as government 'experts' seemingly
rush to chop and change medical policies on the fly and where 'the
cure is worse than the disease' becomes our ultimate nightmare.
The problems inherent in nations efficaciously tackling a pandemic
and providing a coordinated medical response have been known to
science since 1918 at the height of the Spanish Influenza epidemic
and yet the medical science establishment prefers not to acknowledge
this because to do so would likely invalidate a major cornerstone of
allopathic germ theory.
Yet even New Scientist
admits that:
"Medical and scientific experts now agree
that bacteria, not influenza viruses, were the greatest cause of
death during the 1918 flu pandemic." 2
On this issue, have a
read of "The Truth about the 1918
'Viral Influenza' Pandemic."
Germ Theory views the human body as an uninfected biological system
that must be defended against external attack. For over a century,
Big Pharma has made big bucks from selling us potions to fend off
'infections' while denying the reality that a healthy immune system
is the body's own defense against disease (i.e. prevention is better
than cure).
As a seasoned professional science writer I have spent over a decade
working with scientists to expose
the lies about man-made global
warming.
That nonsense was premised on the false hypothesis,
conceived in the minds of second rate academics, that a benign trace
atmospheric gas,
carbon dioxide - one of nature's best cooling gases
and widely used in industry as a refrigerant - somehow 'traps heat'
and dangerously warms our planet.
Thankfully, a significant number of honest, empirical scientists
have since abandoned that nonsense.
But correcting such entrenched misunderstandings can take decades of
dedicated skeptical analysis and cold, hard critical reasoning to
overturn a deeply-held visceral belief, a false scientific notion.
As such, just as with the false greenhouse gas theory of supposed
CO2 warming, so with the consensus about virus theory which is now
being methodically overturned despite the best efforts of corrupt
politicians and corporations.
It is becoming harder for germ theory zealots to persuasively argue
against the proposition that if a virus cannot be proven to be the
agent for the transmission of disease, then the entire rational for
lockdowns, social distancing and mask wearing to ward off infection
should be consigned to history as an almighty public policy misstep
based on junk science.
Among the most strident and highly qualified medical experts leading
the paradigm shift is Dr. Andrew Kaufman whose research shows
COVID-19 is an exosome which exists normally in our lung cell fluid.
Dr Kaufman is a medical doctor, graduated in molecular Biology from
Massachusetts Institute of Technology and involved in cancer
medication and in medical data collection with the New York Health
department and the CDC, then later specialized in psychiatry.
An excellent discussion by Kaufmann and medical colleagues on the
issues is in this video:
Video also
HERE and
HERE...
In his presentation Dr Kaufmann correctly asserts that the COVID19
virus (Sars-Cov-2) has never been isolated.
This is borne out by the
numerous freedom of information (FOIA) requests to leading western
governments who all admit their scientists possess no 'gold
standard' isolate of the virus.
Of course, this is devastating to the claims of the pandemic
fear-mongers because Dr Kaufmann goes on to explain how
the
ubiquitous PCR test used to 'detect' the virus is less than useful
and was never designed as a diagnostic tool.
For well over a year we have endured the insanity of doctors using
flawed PCR tests and erroneously 'detecting' a virus that is not
proven to exist in science which then is used to justify a 'vaccine'
not tailored to defeat a virus that has not been isolated! Circular
insanity, if you will.
My success as a skeptic writer on the man-made global warming
narrative has guided my research into this fascinating subject and
the potential ramifications for the survival of humanity are no less
dire.
Therefore the $64,000 question to governments and Big Pharma is:
Wouldn't you have to sequence the virus (obtain a 'gold standard'
isolate) before you can make a PCR test for it and then a vaccine to
effectively fight it?
Of course, no bribed/blackmailed/coerced quack, politician or
mainstream media 'journalist' will ever come out to seriously answer
this question and encourage open and honest debate.
But any good skeptic would want to uncover evidence antithetical to
the points that Dr Kaufman raised, like an actual experiment that
shows through the scientific method, that viruses are contagious
pathogens spread from one person to another.
Dr Kaufmann et al
assert no such empirical science exists.
Though what other colleagues and myself at Principia Scientific
International have found is that the PCR test may be the root of a
mass deception because if it is run through too many cycles (25+) it
will simply begin to tell you that almost any tiny remnants of RNA
will create a false positive for COVID19.
This is why some fruits, goats, tap water, Coca-Cola and eventually
ANYTHING are testing to be PCR positive but are false positives from
a flawed test protocol (see:
Some Fruit and a Goat now Test COVID-19
'Positive').
In our wider discussions on germ theory we asked such questions as:
How does Polio spread if not by virus?
Why has Smallpox been
eradicated?
In answer, we deduced that a key factor in modern
disease eradication has been vast improvements in sanitation,
infrastructure and hygiene.
http://www.whale.to/vaccines/decline1.html
"The decline in infectious diseases in developed countries had
nothing to do with vaccinations, but with the decline in poverty and
hunger."
Dr
Buchwald, M.D.
"Up to 90% of the total decline in the death rate of children
between 1860-1965 because of whooping cough, scarlet fever,
diptheria, and measles occurred before the introduction of
immunizations and antibiotics."
Dr
Archie
Kalokerinos, M.D.
Many such doctors and researchers have found that polio was caused
by lead, mercury, and/or other types of chemical pollution, and then
unscrupulous bad actors falsely blamed such poisoning on a virus so
to avoid responsibility, as well as to fill the bank accounts of Big
Pharma.
By doing your own research you will also uncover that the same type
of misleading hypocrisy has been repeated for many other conditions
which were more likely due to toxic pollution, but falsely blamed on
viruses.
https://theinfectiousmyth.com/polio-timeline.html
The thrust of what Dr Kaufmann and germ theory skeptics are saying
is that while the COVID 19 'pandemic' has certainly put huge focus on
detecting corona particles, they are not the CAUSE, they are the
RESULT of disease.
They argue that the so-called current outbreak could be a mix of
things including another unidentified influenza instead of the hype
over a new corona virus particle.
Yet, even a non-scientist can simply examine the excess mortality
data for the past 18 months and contrast and compare the data with
death rates for the last 20 or 30 years and see for themselves that
there is NOTHING unusual happening.
Death rates are, in fact, currently LOWER in many regions than in
previous years.
This is
why 'We Must Question the COVID 19 Mortality Statistics.'
Senior Principia Scientific International scientist, Dr
Saeed
Qureshi addresses this issue in his
article 'Did COVID Cause 'Excess Deaths?' where he shows, inter
alia,
that
CDC numbers for excess deaths in 2020 show a 0.14%
increase in the expected annual death numbers, well within normal
variation.
If anything, 'Covid-19 Vaccines Lead
to New Infections and
Mortality'
Are Viruses really Exosomes?
Have you heard of the emerging theory of what viruses might be:
Exosomes...?
Are you absolutely certain that COVID-19 is contagious?
How confident are you in the results from the test?
Most of the case studies come from this paper (Flaws
in Coronavirus Pandemic Theory - Corona Virus Panic) by
David Crowe, where he has all of his citations at the end.
Look hard enough and you will see qualified scientists saying that
exosomes are often indistinguishable from viruses. Exosomes are the
same size as viruses (0.1 microns) - they do vary a little - but are
mostly similar.
They are secreted by cells and are extracellular
vesicles that transport messages between cells to inform each other
when they are in danger. 3
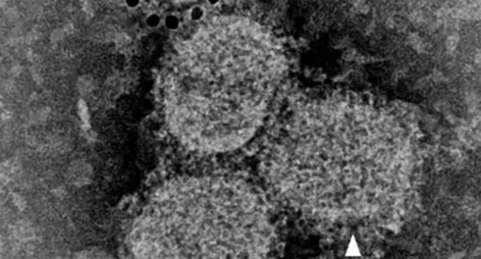
Do Your Eyes Deceive You?
Look at the images below.
Are they images of viruses or exosomes?
Would you know the difference or do you rely on a government
'expert' to help you out?



Dr.
Stefan Lanka, virologist and molecular
biologist, is mostly known internationally as an "AIDS dissident"
(and maybe "gentechnology dissident") who has been
questioning the
very existence of "HIV" since 1994.
He is a controversial figure
vilified by the mainstream media (often a sign a 'white hat' is over
the target exposing evil).
Although we used a Wikipedia quote at the top of this article it is
worth noting that Wikipedia has banned Stephan Lanka's page. Indeed,
it also refuses to permit any entry for Principia Scientific
International despite our 7,000+ STEM members and being a bona fide
science association for over a decade.
For more than a year Wikipedia redirected 'Lanka' searches to a page
on "HIV/AIDS denialism". Now it redirects to some quack named David
Bardens.
To our way of thinking, this is pretty good evidence that
the establishment fears Dr. Lanka. For your edification do check out
the Wikipedia list of "germ theory denialists" and verify the
qualifications of those cited:
Dr. Lanka is certainly a thorn in the side of consensus thinkers and
signaled a possible paradigm shift away from germ theory when he
made his almost "legendary" Zenger's
interview:
"So, for a long time I studied virology, from
the end to the beginning, from the beginning to the end, to be
absolutely sure that there was no such thing as HIV.
And it was
easy for me to be sure about this because I realized that the
whole group of viruses to which HIV is said to belong, the
retroviruses - as well as other viruses which are claimed to be
very dangerous - in fact do not exist at all."
Dr Lanka and others have suggested that one of
the keys to facilitate a mass deception about viruses was via the
technology of the electron microscope which has radically affected
modern medicine over the past 60 years.
It is substantially thanks
to electron microscopy that virology has been so persuasive.
But all
may not be as as it seems...!
Questioning the iconic images of viruses we see splashed all over
the media and in medical journals, Dr Lanka said:
"All these photos have in common that they, respectively the
authors, can't claim that they represent a virus, as long as they do
not also provide the original publications which describe how and
what from the virus has been isolated. Such original publications
are cited nowhere.
Indeed, in the entire scientific medical literature there's not even
one publication, where the fulfillment of Koch's first postulate is
even claimed for such viruses.
This means that there is no proof
that the viruses held responsible for these diseases have been
isolated from humans afflicted by them. Nevertheless, this is
precisely what they publicly claim."

It may yet be proven that vaccines per se may not be the solution to
disease eradication because it may be shown that immunity does not
come from antibodies.
Antibodies are regulating agents.
They are
merely white blood cells that regulate infection, and thus, the
healing process. Viruses may thus be shown to be simply part of the
healing phase.
As explained at
www.vaccinationinformationnetwork.com we should be skeptical of
these images because:
-
Many of the photos are colored.
This is
proof enough, that they are the (art)work of designers,
because electron microscopic photos always appear in black
and white.
-
The images of the so called HIV-, measles
(Masern)- and smallpox (Pocken) viruses clearly show, as the
image descriptions partly already indicate, that these are
cells wherein the viruses can allegedly be found.
Thus,
nothing has been isolated.
The photos actually show cells
and typical endogenous particles in them. These structures
are well known and serve the intra- and inter-cellular
transport.
Unlike viruses of the same kind - which are
consistently the same size and same shape - they differ in
size and shape and therefore can't have been isolated.
-
In the case of the influenza- herpes-,
vaccinia-, polio-, adeno- and ebola-viruses each photo shows
only a single particle; nobody claims that they're isolated
particles, let alone particles that have been isolated from
humans.
These particles are partially the cellular
particles mentioned above (#2) resp. typical artifacts which means:
structures that accrue after inappropriate fixing and drying of the
probes, while being prepared for the electron microscope.
-
The "isolated" polio viruses are
artificial particles, generated by suction of an indifferent
mass through a very fine filter into a vacuum.
Its structure
(no characteristic structures) differ clearly from the ones
of the "viruses" in the cells.
Here the information is
essential that a biochemical characterization of those
"isolated" viruses, although "isolation" is claimed, has
never been published anywhere nor has anybody even claimed
such a characterization.
-
The photo of the hepatitis B "viruses"
does not show isolated structures, but - as the image title
already says, an agglutinate.
This is the scientific/medical
term for proteins from the blood that are clumped together,
as is typical for coagulations.
Typically, round and also
crystal structures accrue - depending on the condition of
the blood sample - as a consequence .
"In summary, it must be said that these
photos are an attempt of fraud committed by the researchers and
medical scientists involved, as far as they assert that these
structures are viruses or even isolated viruses.
To what extent
the involved journalists and authors of textbooks have
contributed to this fraud knowingly or only out of gross
negligence, I don't know.
Everyone who starts researching the
medical literature, will quickly encounter statements and
references that Koch's first postulate can't be fulfilled (i.e.
Großgebauer: Eine kurze Geschichte der Mikroben, 1997, "A short
history of the microbes"; editor: Verlag für angewandte
Wissenschaft).
How these authors who claim the existence of
viruses could overlook that, remains a riddle." 4
Pro-vaccine advocates will obviously try to
discredit Dr Lanka's analyses, mostly because it undermines much of
what we think we know about AIDS.
However, Lanka has proven his
mettle already by winning a benchmark court case in Germany, which
seems to validate his science (image below).

In the informative video below Dr. Thomas Cowan discusses Virology
with Dr. Stefan Lanka:
If the above video was of interest, check out the video below with
the excellent
Catherine Austin Fitts wherein Dr. Thomas Cowan
suggests alternatives to the "germ theory" of disease and depicts
Louis Pasteur, the leading proponent of germ theory, as a fraud...
Jeff Green is another emerging writer and researcher in this field
and he tells us:
"People tell me all the time that they've gotten sick from their
loved one, or they caught this virus or that virus from their loved
one.
I tell them that is what I term the 'Illusion of Viral
Activity'. This is because viruses and bacteria are cyclical in
nature, occurring at the same time in the majority of the population
each year.
This happens because the body, on a cyclical basis, dumps
mass stored toxins after a certain accumulation occurs over a period
of time." 5
Like Dr Kaufmann, Jeff Green points to the seasonality of so many
mass 'infections' which occur every year; sometimes milder,
sometimes stronger.
Kaufmann, Green et al. argue that seasonal variations in temperature
and climate bring about the necessary signals for our bodies to
begin a cyclical cleansing processes.
"When you have households that live together, they almost always eat
the same foods, drink the same water, and breathe the same air;
sharing identical habits.
It is common for them to have similar
detoxification times, therefore they will experience cold or flu
around the same time. This does not mean viruses are contagious.
Viruses and bacteria are not contagious. No virus is, " says Green.
[id.]
Where thinkers like Green and Kaufmann differ is regarding the
difference between exosomes and viruses.
Kaufmann goes as far as to
say
viruses may not even exist.
Green believes they do.
Though critics of germ theory often do agree as to why we have a flu
season - because changes in humidity, lack of sunlight in winter
brings about bodily changes at the cellular level.
'Flu season' may
therefore have to be re-named as 'Low Vitamin D season'...
It is perfectly conceivable that bacteria (or virus) become manifest
in winter in order to disassemble and break toxins down to be
excreted from the body - via skin, mucus, respiratory system, and
bowels.
Coughing, sneezing, high fever symptoms associated with
influenza may be all part of the body's detox process. Many of us
simply happen to detox at the same time seasonally and/or at times
of extreme stress.
People have long bought into an illusion and believe influenza is
contagious - that is the nature of mankind:
they're easily
self-deceived by coincidences.
As Green tells us,
health is rife with such mis-observations because
it cannot be directly seen.
Therefore, the answer is not obvious at
first and is a complex puzzle for those that do not understand the
nature of the body.
In reality it is no different than bears coming out of hibernation,
or trees blossoming at the same time. Most do not all come out on
the same day, but they gradually do so one after the other.
In
short, we should learn to focus on building a strong immune system
and be wary of snake oil salesmen in Big Pharma foisting on us
unproven potions for mythical diseases when the real cure is
prevention through proper nutrition, avoiding stress and a healthy
lifestyle.
Rest assured, this won't be the last word on this evolving story.
Many bad actors hold key positions in authority and are invested in
maintaining the status quo.
Only by concerted wider public action
will the fraud be fully revealed and the masses awakened.
References
-
https://www.ncbi.nlm.nih.gov/books/NBK21523/
-
https://www.newscientist.com/article/dn14458-bacteria-were-the-real-killers-in-1918-flu-pandemic/
-
https://virusesarenotcontagious.com/exosomes-vs-viruses/
-
https://www.vaccinationinformationnetwork.com/dr-stefan-lanka-debunks-pictures-of-isolated-viruses/
-
https://virusesarenotcontagious.com/exosomes-vs-viruses/
|